Este medio se sostiene gracias a su comunidad. APOYA EL PERIODISMO INDEPENDIENTE .

Resulta indiscutible que el futuro del diagnóstico en medicina pasa por la estrecha cooperación entre médicos e ingenieros.
Y en la batalla contra la covid-19, los médicos no están solos. Los ingenieros también nos hemos embarcado en la tarea de frenar la pandemia. Concretamente, y ante la significativa carga de trabajo que el diagnóstico y la evaluación de la covid-19 supone para los expertos en radiología, hemos puesto en marcha CoronavIAruX.
Se trata de una herramienta de apoyo al diagnóstico basada en inteligencia artificial para evaluar pacientes con covid-19 a partir del análisis automático de radiografías convencionales de tórax.
Protocolos de diagnóstico de covid-19
Es bien conocida por todos la utilidad del test RT-PCR para diagnosticar la infección por el coronavirus SARS-CoV-2. Lo que la mayoría desconoce es que el protocolo estándar de diagnóstico clínico recomienda complementar esta prueba con una radiografía simple de tórax. Entre otras cosas, para reducir el número de falsos negativos de la RT-PCR.
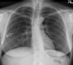
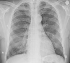
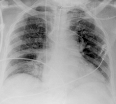
Se recurre a esta técnica de imagen porque, debido a la afectación primaria del sistema respiratorio, la infección por SARS-CoV-2 deja evidencias radiológicas de neumonía visibles bajo los rayos X. Concretamente, la neumonía asociada a la covid-19 produce sombras en los pulmones conocidas como opacidad de vidrio esmerilado. Estas opacidades suelen aparecer con una distribución periférica o posterior, principalmente en los lóbulos inferiores y con menos frecuencia en el lóbulo medio derecho.



A esto se suma la enorme ventaja de que hablamos de un método rápido, poco invasivo, de bajo coste, y que requiere de una logística muy sencilla para su realización. De ahí que, desde febrero de 2020, la Organización Mundial de la Salud considere la radiografía de tórax criterio diagnóstico y de evaluación de la infección por SARS-CoV-2. En la misma línea, la Sociedad Española de Radiología de Urgencias también la recomienda en sus pautas oficiales.
Daños pulmonares por la covid-19 incluso en asintomáticos
En los dos primeros días de la infección, el 50% de los pacientes de covid-19 ya muestra lesiones pulmonares parenquimatosas, superando el 90% entre los 3 y 5 días. Lo sorprendente es que esto ocurre incluso en pacientes asintomáticos. Por ello, complementar la RT-PCR con una radiografía de tórax mejora la sensibilidad en el diagnóstico, reduciendo significativamente el número de falsos negativos. Es importante porque los falsos negativos son precisamente el talón de Aquiles de la prueba RT-PCR, cuya sensibilidad oscila entre el 70-90%. Otra ventaja importante es que la radiografía está lista en cuestión de minutos.
La única pega al uso de esta técnica es que su despliegue masivo tiene un significativo cuello de botella: la necesidad de radiólogos expertos para interpretar y analizar las imágenes. Adicionalmente, el análisis individual de la radiografía de tórax, tal y como lo conocemos, también adolece de una baja sensibilidad, lo que sugiere la necesidad de herramientas complementarias de análisis computerizado.
En este contexto, los sistemas de diagnóstico asistidos por computadora tienen la capacidad de ayudar a los radiólogos a interpretar con mayor rapidez y precisión las imágenes de radiografía para detectar casos de covid-19.
CoronavIAruX
Apoyados en la capacidad que los modelos basados en inteligencia artificial tienen para obtener información que incluso está oculta al ojo humano, investigadores de la Universidad de Antioquia, la Johns Hopkins University y la Universidad Politécnica de Madrid hemos desarrollado un prototipo de sistema computarizado de diagnóstico de la covid-19 y de evaluación del grado de afectación de los pulmones a partir de imágenes radiológicas de tórax. Dicho sistema ha sido desplegado en un prototipo de aplicación en la nube siguiendo un modelo de software como servicio.
La herramienta proporciona un método objetivo complementario, mínimamente invasivo para el diagnóstico, que evalúa el grado de afectación por la covid-19. Alcanza una precisión por encima del 90%, superior incluso a la alcanzada por los expertos en radiología. Además, proporciona evidencias con capacidad diagnóstica en estadios incipientes de la enfermedad (los cinco primeros días).
La herramienta también identifica el área de mayor afectación y permite cuantificar de forma objetiva lo extenso de la infección. Sin olvidar que reduce significativamente el tiempo dedicado por los expertos en radiología a la evaluación de cada paciente.


Para el entrenamiento de los modelos computacionales se ha compilado una base de datos de más de 70 000 imágenes que han sido extraídas de distintas fuentes públicas. El corpus contiene radiografías correspondientes a tres clases principales: pacientes con la covid-19 (8 500 imágenes cedidas por HM Hospitales y el Banco de Imagen de la Región Valenciana), pacientes con otros tipos de neumonías (de origen vírico, bacteriano o fúngico, e incluyendo diversas comorbilidades), y sujetos de control. Con objeto de compensar el sesgo que podría introducir el desbalance de clases, el corpus de imágenes se completó con técnicas de síntesis para el aumento de datos.
Se trata del primer sistema de estas características que ha sido entrenado con un volumen de datos a mediana-gran escala, evidenciando la utilidad de combinar inteligencia artificial con técnicas simples de imagen médica para mejorar el diagnóstico de la .
Aunque CoronavIAruX es aún un proyecto en desarrollo, si se cumplen las previsiones contribuirá de forma significativa a reducir la carga de trabajo del especialista en radiología, ayudándole a realizar un diagnóstico certero, rápido y objetivo.
![]()
Las personas firmantes no son asalariadas, ni consultoras, ni poseen acciones, ni reciben financiación de ninguna compañía u organización que pueda obtener beneficio de este artículo, y han declarado carecer de vínculos relevantes más allá del cargo académico citado anteriormente.
The Conversation. Rigor académico, oficio periodístico
Este periodismo no lo financian bancos ni partidos
Lo sostienen personas como tú. En un contexto de ruido, propaganda y desinformación, hacer periodismo crítico, independiente y sin miedo tiene un coste.
Si este artículo te ha servido, te ha informado o te ha hecho pensar, puedes ayudarnos a seguir publicando.
Cada aportación cuenta. Sin intermediarios. Sin líneas rojas impuestas. Solo periodismo sostenido por su comunidad.
Related posts
SÍGUENOS
Trumpismo teocrático: los republicanos de Carolina del Norte ya plantean legalizar asesinatos para impedir abortos
Quieren que parezca una “defensa de la vida”. Pero lo que están escribiendo en Carolina del Norte es otra cosa: una puerta legal para justificar violencia contra mujeres, personal sanitario y cualquiera que ayude a abortar.
Sí. Legisladores republicanos han presentado una propuesta que podría amparar el uso de fuerza letal para impedir abortos. No es una exageración. Está en el texto.
El trumpismo ya no discute derechos reproductivos. Está construyendo un proyecto teocrático donde el cuerpo de las mujeres deja de pertenecerles y el fanatismo religioso empieza a infiltrarse en las leyes. Primero fueron las prohibiciones. Luego los anticonceptivos. Ahora esto.
Y lo peor es que estas barbaridades nunca aparecen de golpe. Primero parecen imposibles. Después “debatibles”. Luego llegan las víctimas.
Trump amenaza a Omán mientras hace negocios millonarios en el Golfo: la diplomacia mafiosa de “o obedecéis o os bombardeamos”
Trump amenaza con “volar por los aires” a Omán mientras hace negocios millonarios allí. Sí. El mismo Trump que prometía acabar con las guerras eternas. El mismo que vende el personaje de presidente pacifista mientras convierte Oriente Medio en una mezcla de casino, petróleo y amenazas militares.
Y lo peor no es solo la frase. Es la normalidad con la que ya se acepta que un presidente de Estados Unidos amenace públicamente a un aliado histórico porque intenta negociar con Irán el control del estrecho de Ormuz. Diplomacia mafiosa. O haces lo que digo o te destruyo.
Mientras tanto, su empresa levanta un resort de lujo de 500 millones de dólares en Omán. Bombas arriba. Campos de golf abajo. El capitalismo convertido en chantaje geopolítico televisado.
Lo contamos en este artículo. Sin maquillaje. Sin la propaganda del “presidente anti guerras”.
El Rocío vuelve a convertirse en una romería de muerte animal mientras las instituciones miran hacia otro lado
¿Cuántos animales tienen que morir para que alguien diga basta en El Rocío?
Este año ya van 18. Caballos desplomados. Mulas abrasadas en un camión. Bueyes atados al sol sin agua. Y mientras tanto, las instituciones maquillando cifras y hablando de “cólicos” para no llamar a las cosas por su nombre.
No es tradición si el sufrimiento forma parte del espectáculo. No es cultura si nadie responde por los animales que revientan en mitad del camino. Y no, no son “casos aislados”. Llevamos años viendo lo mismo. Año tras año. Cadáver tras cadáver.
Hemos contado todo lo que no aparece en los comunicados oficiales. Las cifras. La opacidad. Las inspecciones sin explicación. El negocio que se esconde detrás de una romería convertida en postal intocable.
Vídeo | Palantir en España: el contrato opaco que mete a Silicon Valley en el corazón de Defensa
Defensa entregó a una empresa nacida en el ecosistema de la CIA una pieza sensible de la inteligencia militar española, sin publicidad, con una sola oferta y bajo una capa de secreto que huele demasiado a negocio blindado.
Vídeo | Palantir en España: el contrato opaco que mete el tecnofascismo en Defensa
Mientras nos hablan de modernización, eficiencia y seguridad, el Estado español abre la puerta de su inteligencia militar a una de las empresas más vinculadas al negocio global de la vigilancia, la guerra y el poder algorítmico. Te lo contamos en #ReportajesSR. Presentado por Patricia Salvador.
Seguir
Seguir
Seguir
Subscribe
Seguir