Este medio se sostiene gracias a su comunidad. APOYA EL PERIODISMO INDEPENDIENTE .
El presidente Carter en 2014. LBJ Library / The Carter Center
El pasado 18 de febrero se recibía por sorpresa el siguiente comunicado oficial sobre la salud de Jimmy Carter: “Después de una serie de breves hospitalizaciones, el expresidente de los Estados Unidos Jimmy Carter ha decidido que a partir de hoy pasará el resto de su tiempo en casa con su familia y recibirá cuidados paliativos en lugar de otro tipo de intervención médica […]”.
Los cuidados paliativos constituyen una atención médica integral orientada a mejorar la calidad de vida de los pacientes terminales. Su objetivo principal es aliviar el sufrimiento y proporcionar apoyo emocional tanto al paciente como a su familia.
Ninguna fuente oficial ha revelado qué enfermedad provoca que Carter, a sus 98 años, esté recibiendo cuidados paliativos. Pero conviene tener muy presente el cáncer metastásico por el que fue tratado en 2015.
El 20 de agosto de aquel año, el propio exmandatario dijo que un melanoma le había metastatizado en cerebro e hígado. Había comenzado tratamiento de inmunoterapia con un medicamento llamado pembrolizumab y estaba a punto de someterse a radioterapia.
Al parecer, el tratamiento tuvo tanto éxito que llegó a considerarse un “milagro”. El 6 de diciembre se emitió un comunicado anunciando que los exámenes médicos ya no mostraban rastro de cáncer.
Lamentablemente, las células tumorales de un melanoma pueden entrar en estado latente y pasar inadvertidas. No es extraño que aparezcan nuevas metástasis después de diez o más años sin evidencia de enfermedad, lo que puede inducir a pensar que el paciente ha sanado.
Las células metastásicas, especies invasoras
El tratamiento del cáncer en fase diseminada o metastásica puede detener la progresión de la enfermedad mediante etapas de aparente remisión clínica completa. Sin embargo, no podemos hablar de curación.
Se puede establecer una analogía entre el comportamiento de las células metastásicas y las especies invasoras que amenazan con destruir un ecosistema, porque ambas tienen la capacidad de crecer y expandirse incontroladamente.
Las células metastásicas se multiplican sin control y se propagan por el torrente sanguíneo o el linfático, a través de los cuales invaden y dañan otros órganos y tejidos. De manera similar, las especies invasoras se propagan y se establecen en nuevos ecosistemas, desplazando a las especies nativas y alterando el equilibrio ecológico. Unas y otras son potencialmente capaces de causar un impacto devastador en el organismo o en el ecosistema en el que se implantan.
Algunas estrategias de inmunoterapia para el cáncer diseminado son semejantes al control biológico de las especies invasoras: implican la introducción de un depredador natural o un patógeno específico para reducir la población del invasor.
En el caso del sistema inmunitario humano, ese depredador natural son los linfocitos T (un tipo de glóbulos blancos), que pueden ser “educados” para destruir selectivamente las células tumorales. Esa fue precisamente la estrategia seguida con el tipo de inmunoterapia que, usando pembrolizumab, consiguió frenar en 2015 el avance del melanoma metastásico del 39º presidente de Estados Unidos.
Así actúa la inmunoterapia contra el melanoma
Pero ¿cómo funciona el pembrolizumab? Para evadir la respuesta inmunológica y evitar la eliminación por parte de los linfocitos T, las células tumorales a menudo utilizan el mecanismo PD-1/ PD-L1.
La proteína PD-L1 (acrónimo de muerte celular programada ligando 1, por sus siglas en inglés) se encuentra en la superficie de las células y puede interactuar con el receptor PD-1 (proteína de muerte celular programada 1) de los linfocitos T. Esto provoca que los linfocitos toleren las células que expresan PD-L1 en lugar de destruirlas.
Es un mecanismo que normalmente evita que los linfocitos T ataquen células sanas del propio organismo, pero también puede ser usado por las tumorales para burlar la inmunovigilancia.
La inmunoterapia antimelanoma intenta bloquear la interacción entre PD-1 y PD-L1 para que así los linfocitos T puedan reconocer y atacar las células cancerosas. La administración de anticuerpos que se unen a PD-L1 o a PD-1 evita que ambas se unan entre sí.
De esa manera el pembrolizumab ayuda a los linfocitos T a reconocer y atacar las células tumorales, lo que puede reducir la propagación del melanoma. Al conseguir prolongar y mejorar la calidad de vida de los pacientes, este enfoque terapéutico ha demostrado ser eficaz en muchos casos de melanoma metastásico.
Microambientes “fríos” y “calientes”
Pero la expresión de PD-L1 por parte de células tumorales del melanoma es solo una de las estrategias que usan sobre las proteínas de superficie cuando actúan como señales de “no me comas” para los linfocitos T. De ahí que el tratamiento con pembrolizumab no sea suficiente.
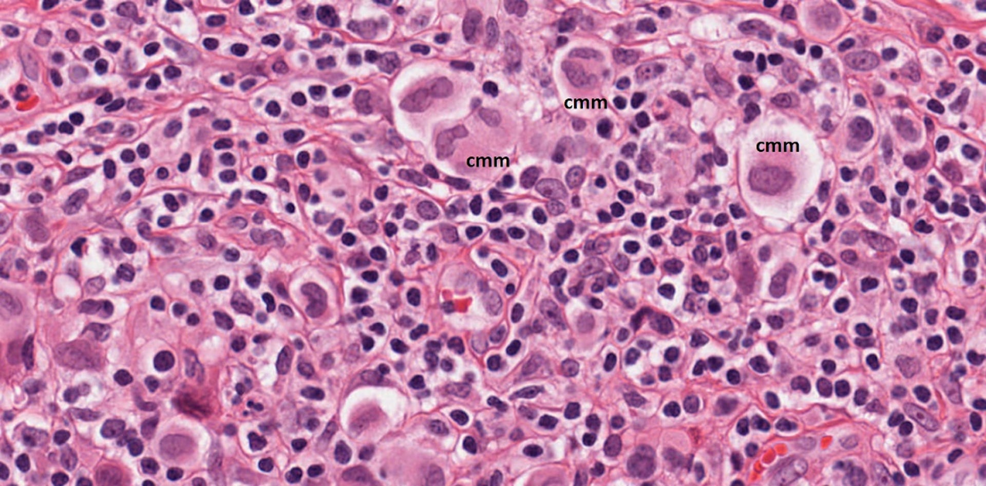
Además, si aumenta la demanda para destruir células tumorales, los linfocitos T llegan a agotarse. Entonces, la eficacia de la inmunoterapia depende del grado de infiltración del tumor por estas células del sistema inmunológico, lo que se denomina “microambiente tumoral”.
Imagen histológica de un melanoma invasor con un microambiente tumoral ‘caliente’ rico en linfocitos T (diminutos círculos oscuros) y células melanocíticas malignas (cmm).
National Cancer Institute
Un tumor con un microambiente tumoral “caliente” (rico en linfocitos T) responderá mejor a la inmunoterapia que otro con un microambiente “frío” (pobre en dichos glóbulos blancos). La radioterapia puede estimular la infiltración de linfocitos y favorecer un microambiente tumoral “caliente”. En definitiva, es un complemento de la inmunoterapia, razón por la cual Carter fue irradiado.
Aunque no se haya hecho oficial, la enfermedad por la que Jimmy Carter está recibiendo cuidados paliativos bien pudiera ser la reactivación de su melanoma metastásico. A pesar de los tratamientos, esta grave enfermedad tumoral siempre gana la batalla a largo plazo y termina con la vida del paciente. Igual que hacen las especies invasoras cuando destruyen ecosistemas, aunque aparentemente parezcan controladas.
Manuel Peinado Lorca es miembro de la Comisión Federal de Biodiversidad del PSOE
José Miguel Sanz Anquela no recibe salario, ni ejerce labores de consultoría, ni posee acciones, ni recibe financiación de ninguna compañía u organización que pueda obtener beneficio de este artículo, y ha declarado carecer de vínculos relevantes más allá del cargo académico citado.
Este periodismo no lo financian bancos ni partidos
Lo sostienen personas como tú. En un contexto de ruido, propaganda y desinformación, hacer periodismo crítico, independiente y sin miedo tiene un coste.
Si este artículo te ha servido, te ha informado o te ha hecho pensar, puedes ayudarnos a seguir publicando.
Cada aportación cuenta. Sin intermediarios. Sin líneas rojas impuestas. Solo periodismo sostenido por su comunidad.
Related posts
SÍGUENOS
Netanyahu ya no disimula: Gaza se ocupa por porcentajes
Netanyahu ya no disimula. Gaza se está ocupando por porcentajes: primero el 52%, luego el 60%, ahora ordena avanzar hasta el 70% y, cuando el público le pide el 100%, responde con una broma: “vayamos en orden”.
Eso no es seguridad. Es desposesión administrada. Es convertir un alto el fuego en una coartada para encerrar a 2,1 millones de personas en cada vez menos territorio, mientras el mundo finge sorpresa ante una estrategia que lleva meses desplegándose delante de todos.
Cuando un Gobierno habla de ocupar Gaza por fases, ya no estamos ante una guerra: estamos ante un plan.
👉 El artículo completo puede leerse en el primer comentario.
Y si quieres ayudarnos a seguir haciendo periodismo que no baja la cabeza:
donorbox.org/aliadas
Contra el racismo institucional: Ayuso intentó vender colapso y el Supremo le contestó con una palabra incómoda, pruebas
Ayuso intentó vender colapso y el Supremo le ha contestado con lo único que desmonta la propaganda: pruebas. Y no las había. Ni de que la sanidad fuera a hundirse, ni de que la educación fuera a reventar, ni de que Madrid fuese a convertirse en una especie de apocalipsis administrativo por regularizar a personas migrantes.
El truco es viejo y miserable: primero deterioran lo público y luego culpan a quienes llegan buscando derechos, trabajo y una vida posible. No era gestión. Era racismo institucional con membrete oficial.
El artículo completo puede leerse en el primer comentario 👇
Y si queréis ayudarnos a seguir haciendo periodismo que no agacha la cabeza: Donorbox.org/aliadas
Aimar Bretos toma ‘Hoy por hoy’ mientras la SER intenta vender normalidad donde huele a crisis
La SER intenta vender como relevo natural lo que suena demasiado a operación de poder.
Aimar Bretos asumirá Hoy por hoy el 31 de agosto, tras la salida de Àngels Barceló después de 21 años en la cadena y 7 al frente del programa. El problema no es Bretos. El problema es ese viejo truco de llamar “pluralidad” a lo que muchas veces significa presión editorial, ajuste interno y disciplina empresarial.
Porque cuando una periodista sale así, cuando compañeras y compañeros lamentan públicamente las formas, cuando la plantilla tiene que defender su profesionalidad, la palabra independencia empieza a sonar menos a principio y más a decorado.
A lo que llaman relevo quizá haya que llamarlo por su nombre: una operación de despacho con música de sintonía.
👉 Artículo completo en el primer comentario.
💥 Puedes ayudarnos a seguir haciendo periodismo incómodo en Donorbox.org/aliadas.
Vídeo | Palantir en España: el contrato opaco que mete a Silicon Valley en el corazón de Defensa
Defensa entregó a una empresa nacida en el ecosistema de la CIA una pieza sensible de la inteligencia militar española, sin publicidad, con una sola oferta y bajo una capa de secreto que huele demasiado a negocio blindado.
Vídeo | Palantir en España: el contrato opaco que mete el tecnofascismo en Defensa
Mientras nos hablan de modernización, eficiencia y seguridad, el Estado español abre la puerta de su inteligencia militar a una de las empresas más vinculadas al negocio global de la vigilancia, la guerra y el poder algorítmico. Te lo contamos en #ReportajesSR. Presentado por Patricia Salvador.
Seguir
Seguir
Seguir
Subscribe
Seguir